Dit is het derde artikel in een serie over ‘Zen en keuzes maken’. Eerder verschenen De beste keuze, deel 1 dat gaat over de moeilijkheden die ons in de weg staan bij het maken van keuze en hoe druk op ons systeem, net als onderdruk kan zorgen dat we betere keuze kunnen maken. De beste keuze, deel 2 ging over de vraag, hoe zen kan helpen om ons meer bewust te worden van de vele keuzes die we maken en daardoor meer het gevoel van echte keuze vrijheid te ervaren. Nu dus deel 3 over de invloed van oerbubbels op (beroeps-)keuzes.
Dick Swaab zijn oerbubbel
Rients Ritskes, Zen.nl Nederland. Dick Swaab is een prachtig voorbeeld met betrekking tot het thema van deze week, namelijk de invloed van oerbubbels op onze beroepskeuze. In de NRC-weekend van 24 en 25 september stond een mooi interview met een dramatisch einde. De laatste alinea’s: Journalist: U kunt moeilijk gezichten herkennen. „Wat ik van mijn vader heb. En ik ben dyslectisch.” Lachje. „Ik heb een brein met mogelijkheden en beperkingen, net als iedereen. En als je bedoelt dat ik autistische trekken heb, dan klopt dat ook.” Journalist: Uw vader had alzheimer en u schrijft dat bij tachtig procent van de 75-plussers in het hersenweefsel de voor alzheimer kenmerkende beschadigingen gevonden worden. „Vind je dat ik al achteruit ga? Ik ben een kind uit de Hongerwinter en ik heb net meegewerkt aan een stuk in Brain waarin staat dat kinderen die hun vroege hersenontwikkeling in de baarmoeder meemaakten tijdens de Hongerwinter kleinere hersenstructuren hebben en waarschijnlijk eerder in het alzheimertraject komen.” Journalist: U houdt uzelf dus goed in de gaten? „Dat is mijn angst, dat ik dat niet kan. Een derde van de alzheimerpatiënten merkt niet dat het begonnen is. Het brein heeft een slecht overzicht over wat er in het brein gebeurt. Ik hoop dat mijn omgeving goed oplet.” Journalist: U denkt niet: het is zoals het is? „Nee, ik wil dat traject niet in. Gelukkig leven we in een land waarin euthanasie een van de opties is.” Journalist: Heeft u de middelen in de kast staan? „Ik zit hier te midden van de chemicaliën, dus voorlopig zit ik goed.” Lachje. „Maar je kunt het beter laten doen door iemand die er ervaring mee heeft.”
Samenhang oerbubbels en beroepskeuze
Dit illustreert heel mooi de samenhang tussen Swaab zijn oerbubbel ‘angst om net als zijn vader alzheimer te krijgen’ en zijn beroepskeuze. En deze samenhang zie je vaak. Mijn vrouw en ik hebben een buitenlandse vriendin van wie de moeder op jonge leeftijd overleed aan bostkanker. Onze vriendin doet nu succesvol onderzoek naar borstkanker. Dichter bij huis: mijn vrouw Merel voelde zich als kind vaak eenzaam en haar hond was haar troost en toeverlaat. Ze is dierenarts en daarna wetenschapper geworden, en haar missie is nu om wereldwijd het aantal proefdieren meer dan te halveren. Ze heeft reeds het onnodig lijden van vele tienduizenden proefdieren weten te voorkomen. Zelf denk ik dat mijn frustratie als kind om uiteindelijk niets te kunnen betekenen voor mijn steeds zieker wordende, en uiteindelijk stervende broertje, mij heeft doen besluiten om als meditatieleraar juist zoveel mogelijk voor mensen te kunnen betekenen. Dit verdrongen trauma en het vele jaren later doorbreken ervan in mijn bewustzijn heb ik beschreven in hoofdstuk 3 van Zen en keuzes maken. En zo kan ik nog een heel rijtje voorbeelden geven waarbij oerbubbels direct invloed lijken te hebben gehad op de latere beroepskeuzes die mensen maken. Er zijn vele boeken en films verschenen met dit thema. Zo herinner ik me een film over een nog in bed plassende jongen. Zijn moeder meende de lakens van zijn bed elke dag buiten te moeten hangen. Hij was als de dood dat zijn klasgenoten in de gaten zouden krijgen waarom zijn moeder elke dag zijn lakens buiten hing, en liep na schooltijd zo hard hij kon naar huis om de lakens binnen te halen. Hij wordt daardoor een super snelle loper en wint als professioneel topsporter Olympisch goud.Het nut van het kennen van je oerbubbel en hun effecten
Er is een overeenkomst tussen de vijf voorbeelden die ik hierboven noem. Alle vijf zijn namelijk in hun carrière redelijk tot zeer succesvol. In de literatuur over succes lees je dat de meeste mensen die succesvol zijn al van jongs af aan weten wat ze willen worden. Maar hoe komt het dat sommigen al op jonge leeftijd zo precies weten wat ze willen? Dit hangt waarschijnlijk sterk samen met wat je als kind meemaakt. Als studieadviseur zag ik hoe vaak familiebubbels - positief of negatief - terug te zien waren in de beroepskeuze. Want we moeten in deze context de positieve beïnvloeding vanuit het verleden, in Boeddhistisch jargon vaak aangeduid met karma, natuurlijk niet vergeten. Zo waren nogal wat geneeskundestudenten gemotiveerd ook geneeskunde te studeren, omdat ze als kind sterk onder de indruk waren van het goede werk van een of beide ouders.
Huiswerk
Het huiswerk dat ik deze week aan mijn cursisten heb meegegeven is om bij zichzelf en in hun omgeving na te gaan welke relatie er te ontdekken is tussen hun oerbubbels en beroepskeuze. Het is namelijk van het grootste belang deze relatie te ontdekken, want doe je dat niet, dan zul je misschien wel succesvol worden, maar niet gelukkig. Dat lijkt ook Swaab te overkomen, want succesvol is hij, maar hij maakt op mij en vele anderen geen gelukkige indruk. Hij weet dan wel heel veel van alzheimer, maar hij is er nog steeds bang voor. En ook de sportatleet mag dan wel goud in de kast hebben hangen; als hij nog steeds bang is dat zijn vuile was buiten wordt gehangen, blijft hij angstig en ongelukkig. Doorzien we het web van oorzaak en gevolg in ons leven beter, dan kunnen we meer vrij en bewust kiezen. Je vermogen om hard te lopen wordt er niet minder van, maar je moet dan wel de motivatie ergens anders vandaan gaan halen. Zo kennen veel topsporters een punt in hun carrière waarop ze ontdekken dat hun oude motivatie hen niet gelukkig maakt. Sommigen lopen daardoor vast, en anderen zijn in staat om de knop om te krijgen en gaan zich bijvoorbeeld committeren aan een goed doel. Succes gemotiveerd door angst maakt niet gelukkig, maar gedreven door passie juist dubbel gelukkig. Het is dus zaak te weten waar je motivatie vandaan komt en daar bewust keuzes in te maken.Moet Dick Swaab niet leren mediteren?
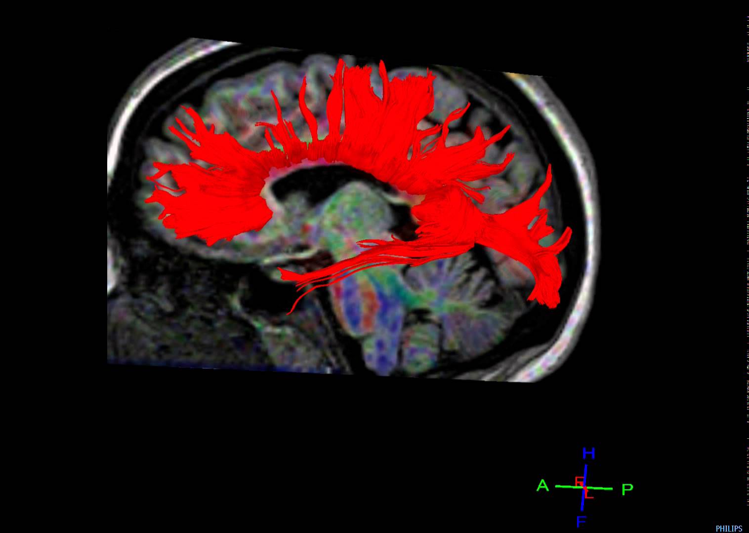
Dick Swaab zou er waarschijnlijk goed aan doen twee maal per dag twintig minuten te mediteren. Waarom? Ten eerste, omdat hij met de publiciteit die hij zoekt, meer mensen voor het hoofd lijkt te stoten dan er gelukkig mee lijkt te maken. En dat kan hem zelf toch ook niet echt gelukkig maken? In het NRC-artikel schrijft hij overigens niet te reageren op de talloze boze brieven die hij krijgt, maar ze wel in een grote lade te bewaren om er later misschien nog eens iets mee te doen. Ten tweede, en gezien vanuit Swaabs eigen wetenschappelijke visie op ‘het stoffelijke’ belangrijker nog: omdat alzheimer op oudere leeftijd regelmatig in verband wordt gebracht met het afnemen van de massa van de brug tussen onze linker- en rechterhersenhelft, genaamd corpus callosum (zie link naar Engelstalige abstract).. En laat mediteren nu net een aantoonbaar positief effect hebben op de massa van ons corpus callosum! (zie link naar Engelstalige abstract)Van oerbubbel tot inzicht
Mediteren leidt tot de verwerking van oerbubbels doordat we tijdens het mediteren niet bezig zijn met de interactie met onze omgeving, waardoor de hersenen, stationair draaiende, met zichzelf in overleg gaan. Dat is het stemmetje in ons hoofd. De rechterhersenhelft praat met de linker hersenhelft. De holist in ons praat met de analyticus. Het wordt niet gauw stil in ons hoofd, maar als we wat langer mediteren wordt de interne communicatie wel steeds rustiger en raken onze verschillende stemmetjes wel veel beter afgestemd. Op die manier hebben wij door te mediteren steeds minder innerlijke conflicten en ontwikkelen we op geïntegreerde wijze, naast aandacht voor de details ook een gezonde helikopterview op ons leven. Hierdoor kunnen onze gewone ervaringen, maar ook onze trauma’s, gemakkelijker een plaats krijgen in ons levensverhaal. Door de dagelijkse meditatie is er dus tijd voor de noodzakelijke interne communicatie die via de brug tussen links en rechts verloopt. Door het intensieve regelmatige gebruik van de brug wordt deze steviger en gaat hij bovendien langer mee. Zoiets zou ik, getrouwd zijnde met een wetenschapper, natuurlijk niet durven te beweren als er niet ook een degelijke studie was gepubliceerd die aantoont dat mediteren dementie bij ouderen lijkt te verminderen. (zie link naar Engelstalige abstract)ZenActueel home
ZenActueel archief
Aanbevolen links:
Zen Incompany
Zen.nl winkel
ZenActueel nieuwe artikelen
Verslag boomplantdag Woerden
Twijfelmoedig | De moed om niet-te-weten
Wat nam ik mee uit Taiwan?
De aanslagen in Parijs hebben me gelukkig gemaakt
Verslag themadag over: toeval
Over inzicht, aandacht en vreugde